随着医学技术的发展,
越来越多人被检出有肺部结节。
小小的结节如何确定性质?
最近,
老年慢阻肺患者李先生就遇到了这样的问题。
李先生在胸部CT检查时发现左上肺小结节伴有小空洞,经过抗感染治疗无明显吸收,急需进一步明确结节性质,但李先生的肺部结节位于常规支气管镜检查无法到达的部位,且李先生肺气肿严重不能耐受肺穿刺风险,后至探花直播 副院长吴巧珍的专家门诊咨询。吴巧珍分析病情、综合评估后建议李先生行“电磁导航下支气管镜活检+肺泡灌洗液NGS检查”。

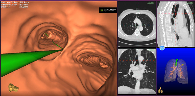
作为介入呼吸病学的**进展,电磁导航支气管镜技术是现代电磁导航技术、虚拟支气管镜和三维CT成像技术相结合的新一代支气管镜检查系统。该系统如同肺部的GPS导航系统,能够建立一条直达肺内病灶的精准诊疗通道,对肺部病变尤其是肺小结节病灶的诊断更准确,与传统诊断方法比较有显著的优势。探花直播 呼吸与危重症医学科副主任董凌云提前将李先生的高分辨率CT图像导入磁导航系统,构建确定了“GPS导航”路径。在麻醉医生的配合下,呼吸与危重症医学科副主任张剑锋利用电磁导航支气管镜诊疗技术,在纵横交错的“支气管交通网”中,按照系统提前规划的“GPS导航”路径,可视化操作支气管镜,精准到达左肺上叶后段结节处“目的地”,成功获取了左肺上叶后段结节的病理活检组织,并给予肺泡灌洗送NGS检测,顺利完成吴江区域内首例“电磁导航支气管镜检查”,开启了吴江地区肺部外周病灶精准诊疗模式。

近年来,随着计算机断层扫描肺部筛查的普及,筛查期间发现了很多的外周型肺结节,这些外周型肺结节的性质单从影像学上无法分辨,明确诊断需依靠病理检查。但经气管镜穿刺或活检很多时候无法到达外周型肺结节的位置,可能需要进行并发咯血、气胸、血胸等风险较高的CT引导下经皮肺穿刺才能取到病理,且该项检查患者辐射暴露的风险亦增加。而磁导航支气管镜检查则突破了传统支气管镜检查的应用瓶颈,该项检查是一种将磁导航系统、支气管镜检查以及CT三维重建技术相结合的新技术:在患者CT影像的基础上,通过建立肺部“GPS导航”地图,利用体外磁场定位板来进行实时引导定位电磁导航支气管镜操作,使得定位导线和鞘管快速精准地到达肺部的每一个角落,可以精准定位肺外周靶病灶、开展活检及治疗。
电磁导航支气管镜检查
具有精准、微创、并发症少的特点,
不但能用于结节的诊断,
还能为后期需要手术、射频等治疗的患者
提供精准定位。
吴巧珍介绍,电磁导航支气管镜检查是实现肺部疾病精准诊疗的一项重要手段,利用该工作通道可进行活检采样、病灶标记、术前染色定位、消融治疗、放射粒子植入、介入靶向治疗等,对于肺部恶性疾病起到“早诊断、早治疗”的目的,从而提高肺癌患者的整体生存率。医院引进开展电磁导航支气管镜系统,实现了气管镜技术力量的全新升级!今后,呼吸与危重症医学科将联合心胸外科、介入科、肿瘤放疗科等进一步拓展该技术的应用范围,推动医疗技术水平再上新台阶,为守护广大人民群众的肺部健康再作新贡献。
呼吸与危重症医学科 宋卫珍